BEFORE AND AFTER
TREATMENT
Here are a few samples of cases treated in the past. It's an honor to have such exceptional patients and their cooperation to achieve the best results possible.

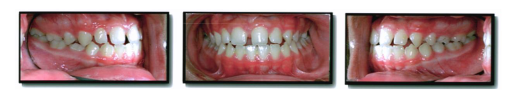
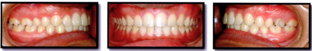
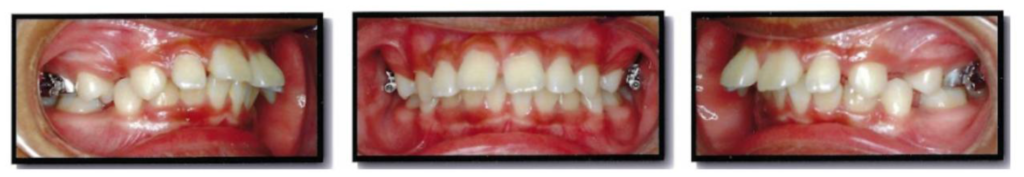
BEFORE

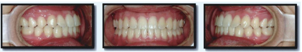
AFTER

Phase: Comprehensive Orthodontics
Diagnosis: Underbite. Missing upper right first premolar. Spaces on the upper arch. Upper front teeth deviate to one side severely. Lower lip and teeth are protrusive.
Treatment: Extract remaining first premolars and close all spaces to correct underbite and reduce lower teeth and lip protrusion.

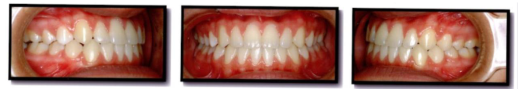
BEFORE

AFTER

Phase: Comprehensive Orthodontics
Diagnosis: Underbite dental and skeletal relationship. Lower midline deviates to the right. Concave facial profile.
Treatment: Correct the underbite with a hyrax expander and protraction headgear to guide upper jaw growth and impede lower jaw growth. Full braces will straighten teeth and improve the facial profile.

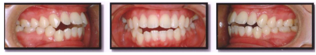
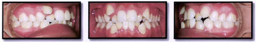
BEFORE

AFTER

Phase: Comprehensive Orthodontics
Diagnosis: Underbite due to a retrusive upper jaw. Upper front teeth are in crossbite. Severe crowding on the upper arch.
Treatment: Expand the upper arch to allow more space to straighten the upper front teeth and move them forward, out of crossbite.

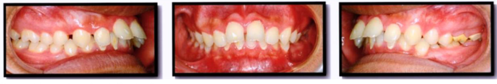
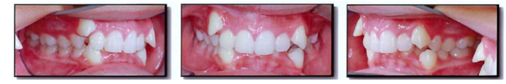
BEFORE

AFTER

Phase: Comprehensive Orthodontics
Diagnosis: Severe open bite in the front. Teeth are flared and lips are protrusive. Difficulty closing the lips.
Treatment: Extract first premolars to allow for space to move front teeth back, closing the open bite, and reducing the lip strain on closure.

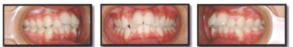
BEFORE

AFTER

Phase: Comprehensive Orthodontics
Diagnosis: Deep overbite. Excessive overjet. Protrusive upper front teeth. Spacing on upper front teeth.
Treatment: Straighten all teeth, retract upper front teeth to reduce the flaring and overbite, and close the upper front spaces.

BEFORE

AFTER

Phase: Comprehensive Orthodontics Treatment
Diagnosis: Class I. Severe crowding. Narrow arches. Severely crooked front teeth.
Treatment: Expand the arches. Extraction of four premolars to relieve the severe crowding. Full braces to straighten all teeth.

BEFORE

AFTER

Phase: Comprehensive Orthodontics
Diagnosis: Class I. Severe crowding. Excess overjet. Lip protrusion. Flared upper front teeth. Large overbite.
Treatment: Extraction of four premolars allowed for straightening of teeth and reduction of the large overbite.

BEFORE

AFTER

Phase: Comprehensive Orthodontics Treatmen
Diagnosis: Class I. Deep overbite. Severe crowding. Severely narrow arches. Blocked-out canine teeth.
Treatment: Expand the upper and lower arches. Extract the first premolars to relieve the severe crowding. Full braces to straighten teeth and reduce the overbite.

BEFORE

AFTER

Phase: Comprehensive Orthodontics
Diagnosis: Severe crowding. Deep overbite. Blocked-out teeth. Upper front teeth deviate to one side.
Treatment: Due to severe crowding, the extraction of four premolars was required to allow for the space to straighten remaining teeth.

BEFORE

AFTER

Phase: Comprehensive Orthodontics
Diagnosis: Deep overbite. Convex facial profile. Spacing on the upper arch. Severe crowding on the lower arch. Protrusive lips.
Treatment: Extraction of two upper premolars and retraction of the front teeth to reduce the severe overbite. Extraction of two lower premolars to relieve the severe crowding.

BEFORE

AFTER

Phase: Comprehensive Orthodontic Treatment
Diagnosis: Severe underbite. Crowded teeth. Concave facial profile with a retrusive upper jaw and protrusive lower jaw and chin.
Treatment: Jaw growth modification using a Hyrax expander and protraction headgear to promote jaw growth to correct underbite. Full braces to straighten all teeth. The concave facial profile is corrected and improved.
